미니쉬는 아름다움을 더해주는 것뿐만 아니라 치아의 수명을 연장하는 효과까지 갖춘 치료 방법입니다. 치아와 비슷한 속성을 가진 재료를 사용하여 손상된 치아와 잇몸을 기능적으로 복원하고, 동시에 미적으로 회복시킵니다.
01
자연치아와 유사한 강도와 형태
미니쉬는 자연스러운 색상과 질감을 갖추어 자연치아와 똑같이 보이도록 만들어 줍니다. 또한 높은 강도를 가지고 있어 내구성이 뛰어나며, 높은 생체 친화성을 가지고 있어 치아와 잘 어우러지며 오랜 시간 동안 사용할 수 있습니다. 또한, 높은 빛 투과성을 가지고 있어 치아가 자연스럽게 빛을 반사하도록 도와줍니다.
02
정교한 보철물 제작으로 완벽한 결합
미니쉬는 빈 공간에 딱 맞도록 3D 기공 장비와 전문 기공사의 손길을 거쳐 정교하고 완벽한 결합을 실현합니다. 치과 전문가들은 정밀한 제작 과정을 거쳐 미니쉬를 만들어내며, 이를 통해 치료 결과물이 치아와 완벽하게 조화를 이루고 최상의 착용감을 제공합니다.
03
치료 과정의 디지털화
미니쉬 치료는 모든 과정을 디지털화하여 보다 정밀하고 안정감 있는 치료를 제공합니다. 디지털 기술을 활용하여 치아 스캔과 디자인, 제작 등의 과정을 철저히 관리하여 치료의 효율성과 정확성을 높입니다. 이를 통해 미니쉬 치료는 환자들에게 안정적이고 효과적인 결과를 제공합니다.
치과다운 치과의원은 오차 없는 정밀한 치아 스캔을 통해 자연치아의 손상 부위에 맞게 정교하게 제작하며, 정확하게 결합시킵니다.
Bolton Ratio
위 앞니 6개의 가로 길이와 아래 앞니 6개의 가로 길이의 비율이 약 100대 77일 때 가장 자연스럽고 보기에 좋은 비율을 가지게 됩니다. 치과다운 치과의원은 볼튼 비율을 기반으로 미니쉬를 정밀하게 디자인하여 자연스럽고 조화로운 결과를 제공합니다.
Golden Ratio
첫 번째 앞니와 두 번째 앞니, 그리고 송곳니의 크기가 각각 1.618 : 1 : 0.618의 비율을 가질 때 가장 안정적이고 심미적으로 조화로운 치열을 보여줍니다. 치과다운 치과의원은 황금 비율을 고려하여 미니쉬를 디자인하여 개개인에게 어울리는 치아의 크기와 형태를 구현합니다.
작은치아(왜소치)
작은치아(왜소치)
벌어진 치아
벌어진 치아
치아모양과 배열의 개선
치아모양과 배열의 개선
변색된 치아
변색된 치아
다발성 치간 충치
다발성 치간 충치
1단계. 1차 검진 및 상담
✓ 접수
✓ 1차 구강 진단(엑스레이 및 구강 사진 촬영)
✓ 구강 검진 및 상담
2단계. 2차 정밀 검진 및 상담
✓ 2차 정밀 진단(디지털 치아 스캔 및 안모 사진 촬영)
✓ 미니쉬 치아 디자인 예상 모형 상담(선택)
3단계. 미니쉬 전 잇몸 건강 보완
✓ 치아 스케일링(선택)
✓ 잇몸 성형(선택)
4단계. 미니쉬 제작 준비 단계
✓ 미니쉬 전 마취(선택)
✓ 치아 표면 정돈
✓ 디지털 스캐너를 이용한 치아 스캔
✓ 미니쉬 디자인 상담
5단계. 미니쉬 디자인 및 제작
✓ 구강 스캔 데이터를 토대로 전문 기공사의 치아 디자인
✓ 3D 프린터를 이용한 모형 제작
✓ 오차 없는 밀링머신으로 1차 제작
✓ 세심한 전문 기공사의 2차 제작
6단계. 미니쉬 결합 단계
✓ 미니쉬 결합 전 마취(선택)
✓ 미니쉬 디자인 체크
✓ 자연치아와 미니쉬 결합
✓ 결합 후 교합 교정
7단계. 미니쉬 피팅 체크
✓ 스마일 라인 체크
✓ 미니쉬 관리법 설명
✓ 피팅 체크 후, 사진 촬영(구강 및 안모)
미니쉬 멤버스 클리닉인 치과다운 치과의원은
환자 개개인에게 가장 자연스럽고 아름다운 치아를 선사합니다.
미니쉬
미니쉬는 아름다움을 더해주는 것뿐만 아니라 치아의 수명을 연장하는 효과까지 갖춘 치료 방법입니다.
치아와 비슷한 속성을 가진 재료를 사용하여 손상된 치아와 잇몸을 기능적으로 복원하고, 동시에 미적으로 회복시킵니다.
01
자연치아와 유사한 강도와 형태
미니쉬는 자연스러운 색상과 질감을 갖추어 자연치아와 똑같이 보이도록 만들어 줍니다.
또한 높은 강도를 가지고 있어 내구성이 뛰어나며, 높은 생체 친화성을 가지고 있어
치아와 잘 어우러지며 오랜 시간 동안 사용할 수 있습니다.
또한, 높은 빛 투과성을 가지고 있어 치아가 자연스럽게 빛을 반사하도록 도와줍니다.
02
정교한 보철물 제작으로 완벽한 결합
미니쉬는 빈 공간에 딱 맞도록 3D 기공 장비와 전문 기공사의 손길을 거쳐 정교하고 완벽한
결합을 실현합니다. 치과 전문가들은 정밀한 제작 과정을 거쳐 미니쉬를 만들어내며,
이를 통해 치료 결과물이 치아와 완벽하게 조화를 이루고 최상의 착용감을 제공합니다.
03
치료 과정의 디지털화
미니쉬 치료는 모든 과정을 디지털화하여 보다 정밀하고 안정감 있는 치료를 제공합니다.
디지털 기술을 활용하여 치아 스캔과 디자인, 제작 등의 과정을 철저히 관리하여 치료의 효율성과
정확성을 높입니다. 이를 통해 미니쉬 치료는 환자들에게 안정적이고 효과적인 결과를 제공합니다.
치과다운 치과의원은 오차 없는 정밀한 치아 스캔을 통해
자연치아의 손상 부위에 맞게 정교하게 제작하며,
정확하게 결합시킵니다.
Bolton Ratio
위 앞니 6개의 가로 길이와 아래 앞니 6개의 가로 길이의 비율이
약 100대 77일 때 가장 자연스럽고 보기에 좋은 비율을 가지게 됩니다.
치과다운 치과의원은 볼튼 비율을 기반으로 미니쉬를 정밀하게 디자인하여
자연스럽고 조화로운 결과를 제공합니다.
Golden Ratio
첫 번째 앞니와 두 번째 앞니, 그리고 송곳니의 크기가
각각 1.618 : 1 : 0.618의 비율을 가질 때 가장 안정적이고 심미적으로 조화로운
치열을 보여줍니다. 치과다운 치과의원은 황금 비율을 고려하여
미니쉬를 디자인하여 개개인에게 어울리는 치아의 크기와 형태를 구현합니다.
작은치아(왜소치)
미니쉬는 작은치아(왜소치)의 경우에도 자연 치아를 제거하지 않고 치아의 크기를 키울 수 있는 가장 좋은 방법입니다. 작은치아를 미니쉬로 수복함으로써 자연스러운 결과를 얻을 수 있습니다.
작은치아(왜소치)
미니쉬는 작은치아(왜소치)의 경우에도 자연 치아를 제거하지 않고 치아의 크기를 키울 수 있는 가장 좋은 방법입니다. 작은치아를 미니쉬로 수복함으로써 자연스러운 결과를 얻을 수 있습니다.
벌어진 치아
교정을 피하고자 하며, 황금 비율에서 크게 어긋나지 않는 선에서 완성될 수 있는 경우에는 미니쉬를 권해드립니다. 벌어진 치아를 미니쉬로 조성함으로써 치아를 조화롭게 만들 수 있습니다.
벌어진 치아
교정을 피하고자 하며, 황금 비율에서 크게 어긋나지 않는 선에서 완성될 수 있는 경우에는 미니쉬를 권해드립니다. 벌어진 치아를 미니쉬로 조성함으로써 치아를 조화롭게 만들 수 있습니다.
치아모양과 배열의 개선
경미한 치아모양과 배열의 문제는 치아 황금 비율과 크게 어긋나지 않는 선에서 개선할 수 있습니다. 그러나 급속한 교정 효과를 원하시는 경우에는 미니쉬를 추천하지 않습니다.
치아모양과 배열의 개선
경미한 치아모양과 배열의 문제는 치아 황금 비율과 크게 어긋나지 않는 선에서 개선할 수 있습니다. 그러나 급속한 교정 효과를 원하시는 경우에는 미니쉬를 추천하지 않습니다.
변색된 치아
치아의 전체적인 색 톤이 누렇게 변색된 경우, 지속적인 미백이 어려우신 분들에게 미니쉬를 권해드립니다. 미니쉬를 통해 변색된 치아를 조화롭게 수복함으로써 자연스러운 미소를 되찾을 수 있습니다.
변색된 치아
치아의 전체적인 색 톤이 누렇게 변색된 경우, 지속적인 미백이 어려우신 분들에게 미니쉬를 권해드립니다. 미니쉬를 통해 변색된 치아를 조화롭게 수복함으로써 자연스러운 미소를 되찾을 수 있습니다.
충치가 많은 치아(다발성 치간 충치)
다발성 치간 충치로 인해 충치가 많은 경우, 레진으로 수복 시 변색될 우려가 있고 색상이 완벽하게 일치하지 않을 가능성이 높습니다. 미니쉬를 통해 충치가 많은 치아를 복원함으로써 자연스럽고 아름다운 치아를 얻을 수 있습니다.
충치가 많은 치아(다발성 치간 충치)
다발성 치간 충치로 인해 충치가 많은 경우, 레진으로 수복 시 변색될 우려가 있고 색상이 완벽하게 일치하지 않을 가능성이 높습니다. 미니쉬를 통해 충치가 많은 치아를 복원함으로써 자연스럽고 아름다운 치아를 얻을 수 있습니다.
1단계. 1차 검진 및 상담
✓ 접수
✓ 1차 구강 진단(엑스레이 및 구강 사진 촬영)
✓ 구강 검진 및 상담
2단계. 2차 정밀 검진 및 상담
✓ 2차 정밀 진단(디지털 치아 스캔 및 안모 사진 촬영)
✓ 미니쉬 치아 디자인 예상 모형 상담(선택)
3단계. 미니쉬 전 잇몸 건강 보완
✓ 치아 스케일링(선택)
✓ 잇몸 성형(선택)
4단계. 미니쉬 제작 준비 단계
✓ 미니쉬 전 마취(선택)
✓ 치아 표면 정돈
✓ 디지털 스캐너를 이용한 치아 스캔
✓ 미니쉬 디자인 상담
5단계. 미니쉬 디자인 및 제작
✓ 구강 스캔 데이터를 토대로 전문 기공사의 치아 디자인
✓ 3D 프린터를 이용한 모형 제작
✓ 오차 없는 밀링머신으로 1차 제작
✓ 세심한 전문 기공사의 2차 제작
6단계. 미니쉬 결합 단계
✓ 미니쉬 결합 전 마취(선택)
✓ 미니쉬 디자인 체크
✓ 자연치아와 미니쉬 결합
✓ 결합 후 교합 교정
7단계. 미니쉬 피팅 체크
✓ 스마일 라인 체크
✓ 미니쉬 관리법 설명
✓ 피팅 체크 후, 사진 촬영(구강 및 안모)
왜소치
미니쉬 전 2023.07.04
미니쉬 전 2023.07.04
미니쉬 후 2023.07.17
미니쉬 후 2023.07.17
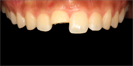
치아 파절
미니쉬 전 2023.06.19
미니쉬 전 2023.06.19
미니쉬 후 2023.06.25
미니쉬 후 2023.06.25
개인에 따라 치료기간이 다를 수 있고, 부작용이 발생할 수 있으니 의료진의 정확한 진료를 받고 치료를 진행 하시길 바랍니다.
개인에 따라 치료기간이 다를 수 있고, 부작용이 발생할 수 있으니 의료진의 정확한 진료를 받고 치료를 진행 하시길 바랍니다.